Jak vypadají zubní fazety? Všechno, co potřebujete vědět o nalepovacích zubech

ledna 26, 2026 David Bureš 0 Komentáře
Jak vypadají zubní fazety? Všechno, co potřebujete vědět o nalepovacích zubech

Odpovězte na pár otázek a zjistěte, zda jsou zubní fazety pro vás vhodné

Odpovězte na následující otázky

Klikněte na svou odpověď pro pokračování. Náš nástroj vám poradí, zda jsou zubní fazety pro vás vhodné.

Zubní fazety jsou tenké keramické nebo kompozitní placky, které se nalepí na přední povrch zubů, aby je zlepšily vzhledem. Nejčastěji se používají na horní zuby, ale někdy i na dolní, pokud jsou viditelné při úsměvu. Nejde o zubní korunky - fazety neodstraňují velké množství zubní tkáně, jen jemně upraví povrch. Vypadají jako přirozené zuby, ale jsou odolnější, bílejší a rovnoměrnější.

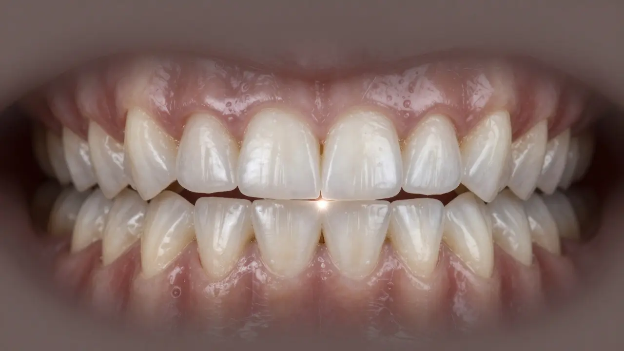
Co přesně vidíte, když se podíváte na zubní fazety?

Když se podíváte na zubní fazetu zblízka, vypadá jako malý, průhledný štít, který se přilnavě přilepí na zub. Jsou vyrobené z keramiky nebo kompozitních pryskyřic, které se dají přesně přizpůsobit barvě vašich přirozených zubů. Výrobci používají speciální techniky, aby fazety měly stejný lesk, průhlednost a stín jako skutečné zuby - včetně drobných skvrnek a přirozených odstínů, které se objevují u zdravých zubů.

Na první pohled je těžké je odlišit od přirozených zubů. Dokonce i zubní lékaři je někdy potřebují prozkoumat pod zvětšovacím čočkou, aby je rozpoznali. Fazety nejsou bílé jako sníh - to by vypadalo uměle. Místo toho mají jemný, přirozený odstín, který se může lišit podle osvětlení. Při denním světle jsou trochu chladnější, při umělém světle teplejší. Toto je důležité: dobře vyrobená fazeta se nesnaží být dokonalá - snaží se být přirozená.

Kdy se fazety používají?

Fazety nejsou pro každého. Nejsou řešením pro zuby s velkými plomby, zničenou sklovinou nebo závažným poškozením. Používají se hlavně na estetické vylepšení. Tři nejčastější důvody, proč lidé volí fazety:

  • Odstranění skvrn - například od tetracyklinových zubů, příliš silného čaje, kávy nebo kouření. Fazety překryjí tmavé odstíny, které nelze odstranit běžným bělením.
  • Zaplnění mezer - mezi předními zuby, které nejsou příliš velké (do 2 mm), se fazety dají použít jako elegantní řešení bez ortodontie.
  • Upravení tvaru - pokud máte zuby příliš krátké, zaoblené nebo nerovnoměrně zploštělé, fazety je mohou „prodloužit“ a přizpůsobit harmonickému tvaru úsměvu.

Nejsou vhodné pro lidi s bruxismem (zubní skřípání). Při silném skřípání se fazety mohou poškrábat, prasknout nebo odlepit. V takovém případě se doporučuje nejprve použít noční ochrannou štětici.

Jak se fazety vyrábějí a přilepují?

Proces trvá obvykle dvě návštěvy u zubního lékaře. Na první návštěvě se zuby lehce upraví - odstraní se jen 0,3 až 0,7 mm povrchové sklovy. Toto je potřeba, aby fazety nevypadaly příliš tlusté. Potom se udělá odlitek nebo digitální sken, který se pošle do zubního laboratoře. Tam se fazety vyrábějí podle vašich přesných rozměrů a barvy.

Na druhé návštěvě se fazety zkusí na zubech. Lékař zkontroluje, zda sedí, zda je barva správná a zda se necítí v ústech příliš hrubě. Pokud je vše v pořádku, zuby se očistí, povrch se lehce zhrubí, aby se fazeta lépe přilepila, a potom se použije speciální lepidlo. Lepidlo se ztuhne pod zvláštní modrým světlem - celý proces trvá jen pár minut na každý zub.

Neexistuje žádná doba hojení. Můžete okamžitě jíst a pít - ale první dny se může zdát, že zuby jsou trochu větší. To je normální. Vaše ústa se přizpůsobí během týdne.

Keramické nebo kompozitní fazety - co je lepší?

Tady je klíčový rozdíl:

Porovnání keramických a kompozitních fazet
Vlastnost Keramické fazety Kompozitní fazety
Délka životnosti 10-20 let 5-10 let
Odolnost proti skvrnám Výborná - nezbarvují se Střední - mohou ztmavnout po čase
Přirozený vzhled Nejlepší - přesná průhlednost a lesk Dobrý - ale méně přirozený
Cena za zub 15 000-25 000 Kč 6 000-12 000 Kč
Upravení po nanesení Nelze upravit - musí se vyměnit Lze lehce upravit v ústech

Keramické fazety jsou standardem pro kvalitní estetické řešení. Jsou dražší, ale trvají déle a nevyžadují časté výměny. Kompozitní fazety jsou levnější a rychlejší na výrobu - ideální pro dočasné řešení nebo pro ty, kdo nechtějí investovat velké částky. Ale pokud chcete výsledek, který vydrží desítky let, keramika je jediná volba.

Zubní technik přesně umisťuje keramickou fazetu na model zubu pod zvětšovací čočkou.

Co se stane, když fazeta praskne nebo odpadne?

Je to vzácné, ale může se stát - například pokud něco zasáhne zub (např. kamení v jídle) nebo pokud máte silné skřípání. Pokud fazeta odpadne, nezahazujte ji. Uložte ji do vody nebo do krabičky. Většinou se dá znovu přilepit. Lékař zkontroluje, zda je povrch zubu poškozený. Pokud ne, stačí znovu přilepit. Pokud je zub poškozený, musí se udělat nová fazeta.

Pokud fazeta praskne - třeba na krajích - nezůstávejte s ní. Může způsobit podráždění jazyka nebo vnitřní strany úst. Navštivte zubního lékaře co nejdříve. V některých případech se dá prasklina opravit kompozitním materiálem, ale často je nutné vyměnit celou fazetu.

Co se stane, když si necháte fazety a pak se rozhodnete je odstranit?

Toto je důležité: po odstranění fazet nezůstanou vaše zuby stejné, jako předtím. Protože se při přípravě odstranila malá vrstva sklovy, zuby jsou trvale upravené. Pokud fazety odstraníte, zuby budou mít menší objem, mohou být citlivější na teploty a vypadat „zkráceně“ nebo „plošně“.

Neexistuje způsob, jak vrátit zubní sklovinu zpět. Proto je rozhodnutí o fazetách trvalé. Někteří lidé si je nechají na celý život. Jiní je vymění za nové po 15 letech. Ale neexistuje „zpětná cesta“ - když je vezmete, vaše zuby jsou navždy jiné.

Co je lepší: fazety nebo bělení?

Bělení je skvělé, pokud máte jen lehké skvrny a zuby jsou v dobrém stavu. Ale pokud máte tmavé zuby od antibiotik, poškozenou sklovinu nebo nepravidelný tvar - bělení nepomůže. Fazety jsou řešení pro případy, kdy bělení selhává.

Nejčastější chyba: lidé nejdřív bělí, pak zjistí, že to nestačí, a teprve pak přemýšlí o fazetách. To je zbytečná nákladná cesta. Pokud máte vážnější estetické problémy, přímo se zeptejte na fazety. Nebo si nechte udělat simulaci v počítači - mnoho klinik dnes používá digitální návrh, který vám ukáže, jak budete vypadat s fazetami, než začnete.

Před a po: tmavé zuby vlevo, jasné fazety vpravo, spojené zářící čárou.

Co se stane s vašimi zuby, když se fazety opotřebí?

Fazety se neopotřebí jako kola autu. Ale po 10-15 letech může dojít k drobným změnám: lepidlo se může ztmavit, hranice mezi zubem a fazetou se může stát viditelnější, nebo se může trochu zvýšit citlivost. To neznamená, že se fazeta rozbila - jenže estetický efekt není stejný jako na začátku.

Proto se doporučuje každých 2-3 roky udělat kontrolní prohlídku. Lékař zkontroluje, zda je lepidlo stále v pořádku, zda nevznikají mikrotrhliny a zda nejsou známky zánětu v dásních. Pokud se vše ještě hodí, můžete je nechat - ale pokud už nevypadají tak dobře, je čas na výměnu.

Je to bezpečné? Jsou nějaká rizika?

Fazety jsou bezpečné, pokud je udělá kvalifikovaný zubní lékař. Rizika jsou malá, ale existují:

  • Citlivost na teplotu - někteří pacienti cítí chlad nebo horko po nanesení, ale to obvykle zmizí za několik dní.
  • Problémy s dásněmi - pokud fazeta není přesně přilepená, může se pod ní hromadit plak a vznikne zánět. To se dá předcházet pravidelným čištěním.
  • Nesprávný tvar - pokud lékař nezajistí přirozený tvar, může to vypadat uměle nebo ovlivnit mluvu. To se stává jen u nezkušených praktiků.

Největší riziko není fyzické - je to nevhodné očekávání. Někteří lidé si myslí, že fazety budou „dokonalé“ jako ve filmu. Ve skutečnosti jsou to přirozené zuby - ne dokonalé, ale krásné. A to je přesně to, co chcete.

Co se děje po nanesení fazet - co můžete jíst?

Po nanesení fazet nemusíte měnit svou stravu. Můžete jíst ořechy, jablka, chléb, všechno, co jste jeli předtím. Ale:

  • Nežvýkejte tvrdé věci zuby na hraně fazet - například kosti, led nebo tvrdé bonbóny. To může poškodit hranu.
  • Nežvýkejte tužky, nehty nebo věci z kovu - to poškodí i přirozené zuby, ale fazety jsou ještě citlivější.
  • Pokud máte bruxismus, noste noční štětici - jinak se fazety po pěti letech mohou poškrábat.

Čištění je stejné jako u přirozených zubů: kartáček, nit a zubní voda. Nežijte s fikcí, že fazety „nechtějí čištění“. Naopak - čistíte je stejně jako zuby, jen s větší péčí. Fazety nejsou odolné proti zanedbání.

Můžu si nechat fazety jen na několika zubech?

Ano, můžete. Mnoho lidí si nechává fazety jen na horních předních zubech - obvykle na 6 nebo 8 zubech. To je nejčastější řešení. Ale je důležité, aby barva a tvar seděly s přirozenými zuby. Pokud máte jen 4 fazety a ostatní zuby jsou tmavší, výsledek bude nekonzistentní. Proto se často doporučuje nechat si udělat i lehké bělení ostatních zubů, aby vše sedělo.

Jsou fazety vhodné pro mladé lidi?

Fazety nejsou vhodné pro děti ani pro mladé dospělé, kteří mají ještě neúplně vyvinuté zuby. Nejčastěji se doporučují lidem ve věku 20-60 let. Pokud máte 18 let a zuby ještě rostou, lékař vám to odmítne. Většina zubních lékařů čeká, až bude růst zubů zcela ukončený - obvykle kolem 20. roku života.

Můžu si nechat fazety, když mám křivé zuby?

Fazety nejsou náhradou za ortodoncii. Pokud máte značné křivosti, překrytí nebo přešlapování, fazety nebudou fungovat správně. Mohou vytvořit nekonzistentní vzhled nebo způsobit problémy s příjmem jídla. V těchto případech se doporučuje nejprve ortodontické ošetření. Fazety pak slouží jako finální estetický dotek - ne jako základní řešení.

Jsou fazety hrazené zdravotním pojištěním?

Ne. Fazety jsou čistě estetická léčba, proto se nehradí z veřejného zdravotního pojištění. Všechny náklady nesete vy. Některé soukromé pojišťovny nabízejí doplňkové plány, které částečně hradí kosmetické zubní úpravy - ale to je výjimka. Většina lidí platí z vlastní kapsy.

Jak dlouho trvá příprava na fazety?

Celý proces trvá 2-4 týdny. První návštěva trvá 1-2 hodiny - tam se dělá příprava a odlitek. Potom se fazety vyrábějí v laboratoři, což trvá 1-2 týdny. Druhá návštěva je na přilepení - trvá 1-2 hodiny. Pokud potřebujete rychlejší řešení, některé kliniky nabízejí digitální výrobu, kdy se fazety připraví za 1-2 dny, ale to je dražší.

Nezapomeňte: fazety nejsou jen o tom, jak vypadáte. Jsou o tom, jak se cítíte, když se podíváte do zrcadla. Když se usmějete a nechcete skrývat ústa - to je ta pravá hodnota.


David Bureš

David Bureš

Jsem stomatolog s více než desetiletou praxí. Pracuji v soukromé klinice v Brně, kde se specializuji na preventivní péči a ortodoncii. Mám velký zájem o nové technologie a metody v oblasti stomatologie. Ve svém volném čase rád píšu odborné články o péči o zuby, které sdílím svým pacientům a široké veřejnosti. Mým cílem je vždy poskytnout nejlepší možnou péči a udržet úsměv mé pacienty zdravý a krásný.


Související příspěvky